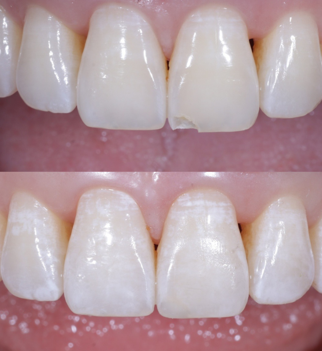
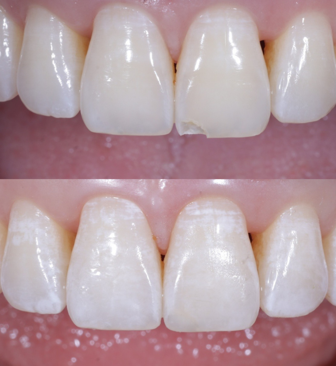
Composite Bonding in Muswell Hill
Natural-looking composite bonding to refine chips, smooth edges and close small gaps, with a gentle, conservative approach.
- Minimal prep and conservative approach
- Fast, natural-looking improvements
- Shape, symmetry and edge refinement


















Composite edge bonding vs composite veneers
Both treatments use composite resin to improve shape and aesthetics. The right choice depends on what you'd like to change and how many surfaces we need to refine.
Composite edge bonding
Focused refinements to the edges of teeth, ideal when you want subtle, natural changes without reshaping the whole front surface.
- Small chips, worn edges and minor unevenness
- Closing tiny gaps or smoothing rough edges
- Keeping changes subtle and tooth-like
Composite veneers
A broader aesthetic upgrade to the front surfaces — useful when multiple teeth need reshaping, levelling, or more noticeable refinement.
- More visible edge + surface improvements
- Levelling uneven teeth or improving symmetry
- Creating a consistent shape across the smile
Not sure which one suits you?
We'll assess your teeth, talk through the look you want, and recommend the most conservative option that achieves it.
Benefits of composite bonding
A conservative way to refine your smile, ideal for improving chips, edges, small gaps and unevenness with natural-looking results.
What happens during the treatment
A gentle, step-by-step process designed to be comfortable and precise, with results you can see straight away.
We choose a shade that blends with your natural teeth for a seamless, undetectable result.
We clean and isolate the tooth so bonding is precise, controlled, and comfortable throughout.
A gentle conditioning step helps composite adhere strongly to the enamel surface.
We build in layers and refine shape, symmetry, and edges to suit your smile perfectly.
We polish for a natural sheen, check your bite, and run through aftercare so you know what to expect.
Book a free cosmetic consultation in Muswell Hill
Not sure where to start? Tell us what you'd like to change and we'll talk through your options, explain what's involved, and give you a clear plan with pricing, completely free and with no obligation.
Frequently asked questions
Short, clear answers to the questions we hear most often about composite bonding.
Composite bonding is a cosmetic treatment where a tooth-coloured resin is bonded to the tooth to improve shape, edges, small gaps, and minor chips. It's built in layers and polished to blend in naturally with your smile.
Most people are, as long as teeth and gums are healthy and your bite allows the bonding to be protected. If you grind heavily, have unstable bite relationships, or need bigger changes, we may suggest aligners first or a different option.
It depends on your bite, habits and how much bonding is placed. With good care and regular reviews, it can last for years. If an edge chips or wears, it's often repairable without redoing everything.
- Wear a night guard if you clench or grind
- Avoid nail biting and pen chewing
- Keep up with hygiene visits and check-ups
In most cases it's a conservative option. Bonding often needs little to no drilling, and the resin is bonded to enamel. We'll explain exactly what prep is needed for your teeth before starting.
Yes — when it's planned properly. We match shades carefully and shape the bonding to suit your face, lips and smile. The aim is "better", not "fake".
Composite can pick up staining over time (especially with tea, coffee, red wine, or smoking) and edges can chip if they take heavy bite forces. The good news is it can usually be polished or repaired.
If you want a lighter shade, whitening is usually done first. Composite doesn't whiten like natural enamel, so we typically match bonding to the shade you choose to settle on.
Costs depend on how many teeth we're improving and the complexity of shaping and layering. After an assessment, we'll give you a clear plan and price before you decide to go ahead.