Gum Treatment in Muswell Hill
Effective, gentle treatment for gum disease at every stage, from early bleeding and inflammation through to advanced periodontal care.
- Full gum health assessment and pocket charting
- Deep cleaning below the gumline when needed
- Ongoing maintenance plans to keep gums stable
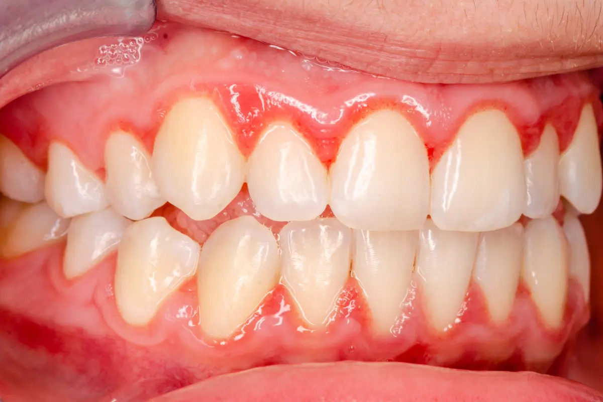
Gingivitis vs periodontitis
Gum disease develops in stages. Understanding the difference helps you act early, when treatment is simplest and the damage can still be reversed.
Gingivitis
The earliest form of gum disease, caused by plaque build-up along the gumline. The good news: it's fully reversible with the right care.
- Gums that bleed when you brush or floss
- Red, swollen or tender gums
- Persistent bad breath
- No bone loss, teeth remain firmly in place
Periodontitis
When gingivitis is left untreated, it can progress to periodontitis, where infection spreads beneath the gumline and begins to destroy the supporting bone.
- Gums pulling away from the teeth (recession)
- Deeper gum pockets that trap bacteria
- Loose or shifting teeth
- Bone loss visible on X-rays
Early treatment makes all the difference
Gingivitis can be reversed completely. Even advanced gum disease can be stabilised and managed with the right plan. The sooner you start, the better the outcome.
Your gums affect more than your smile
Research increasingly shows that gum health is closely linked to your overall wellbeing. Treating gum disease isn't just about your teeth.
How gum disease progresses
Gum disease doesn't happen overnight. It develops in stages, and the earlier we catch it, the simpler and more effective treatment can be.
Firm, pale pink gums that sit snugly around each tooth with no bleeding when you brush or floss. This is where we want to keep you, and regular hygiene visits help you stay here.
✓ The goal for every patientPlaque builds up along the gumline, triggering inflammation. Gums may look red or puffy and bleed easily. There's no bone loss yet, and at this stage, the damage is fully reversible with professional cleaning and improved home care.
✓ Fully reversibleInfection moves below the gumline, forming deeper pockets between tooth and gum. Early bone loss begins. You might notice persistent bad breath, gum tenderness, or slight recession. Deep cleaning can halt progression at this point.
⚑ Manageable with treatmentSignificant bone loss, deeper pockets, and gum recession become more noticeable. Teeth may start to feel loose or shift position. Intensive periodontal treatment is needed, often over several visits, to stabilise the condition.
⚠ Needs prompt treatmentSevere bone destruction, deep infection, and loose teeth that may need extraction. Even at this stage, treatment can stabilise what remains and restore function with implants or dentures. It's never too late to start.
⚠ Urgent care recommended
Get your gum health back on track in Muswell Hill
Bleeding, soreness or recession don't have to get worse. The sooner we take a look, the more we can do. Book a consultation and we'll give you a clear, honest assessment.
Frequently asked questions
Honest answers to common concerns about gum disease and how we treat it.
The most common early signs are bleeding when you brush or floss, red or swollen gums, and persistent bad breath. In more advanced cases you might notice gum recession, loose teeth, or a change in your bite. Many people have gum disease without realising, which is why regular check-ups are so important.
Gingivitis, the earliest stage, is fully reversible with professional cleaning and improved home care. Once it progresses to periodontitis, the bone loss cannot be undone, but the condition can be stabilised and managed very effectively. The key is catching it early and staying consistent with treatment.
Most patients find it very manageable. For deeper cleaning below the gumline, we use local anaesthetic to keep you comfortable throughout. You may notice some tenderness for a day or two afterwards, but this settles quickly. We always work gently and at your pace.
In most cases, no. The vast majority of gum disease is treated non-surgically with deep cleaning (root debridement) and a structured maintenance programme. Surgery is only considered for severe cases that don't respond to initial treatment, and we'll always discuss every option with you first.
It depends on the severity. Mild gingivitis can often be resolved in one or two hygiene visits. More advanced periodontitis may require a course of deep cleaning sessions spread over several weeks, followed by a review to assess how your gums have responded.
Unfortunately, gum tissue doesn't regenerate on its own once it has receded. However, treatment can stop further recession, and in some cases gum grafting procedures can restore coverage. The most important step is addressing the underlying cause so things don't progress further.
Yes. Research has linked gum disease to a number of systemic conditions including heart disease, diabetes, stroke, and complications during pregnancy. The chronic inflammation involved in periodontitis can affect your wider health, which is another important reason to treat it promptly.
The cost depends on the type and extent of treatment needed. We'll give you a clear breakdown after your initial assessment so there are no surprises. Finance options are available for more extensive treatment plans, and we'll always work within your budget.