Biomimetic dentistry in Muswell Hill
Treatments that work with your natural tooth, not against it. We preserve as much healthy structure as possible and build restorations that mimic the way real teeth behave.
- Minimally invasive approach to every treatment
- Preserves and strengthens natural tooth structure
- Fewer root canals, fewer crowns, longer-lasting results
























What is biomimetic dentistry?
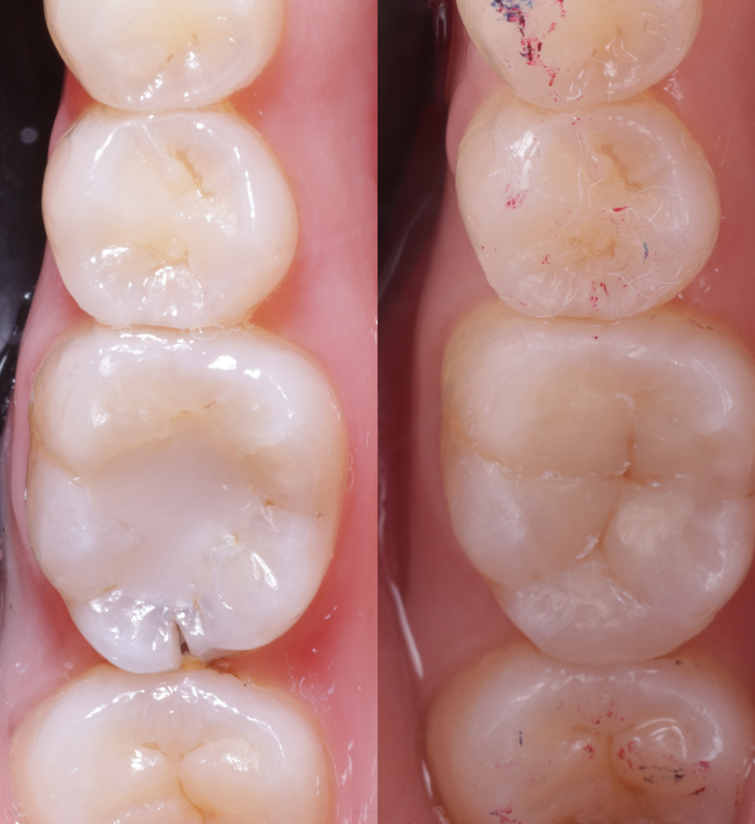
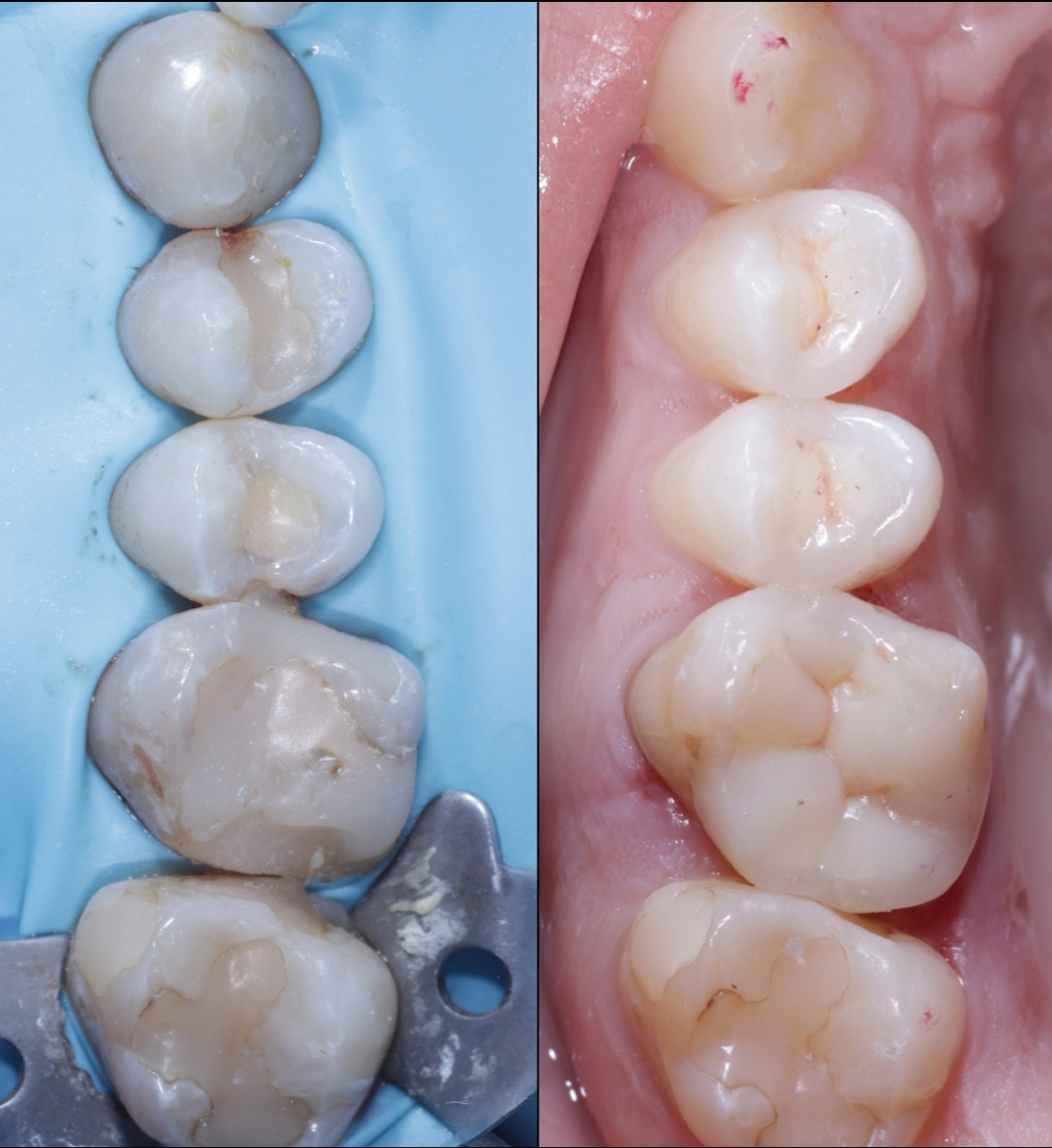
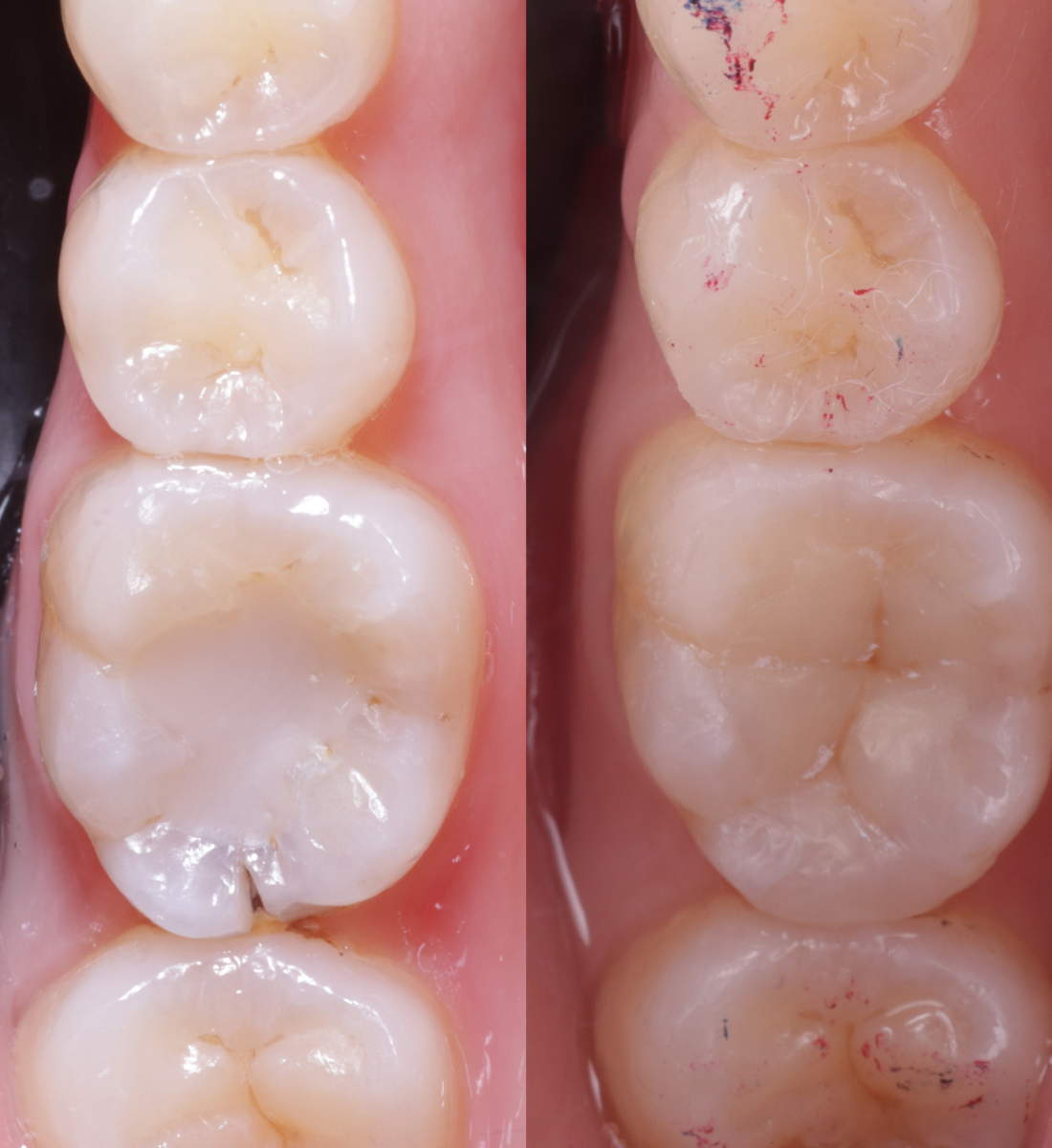
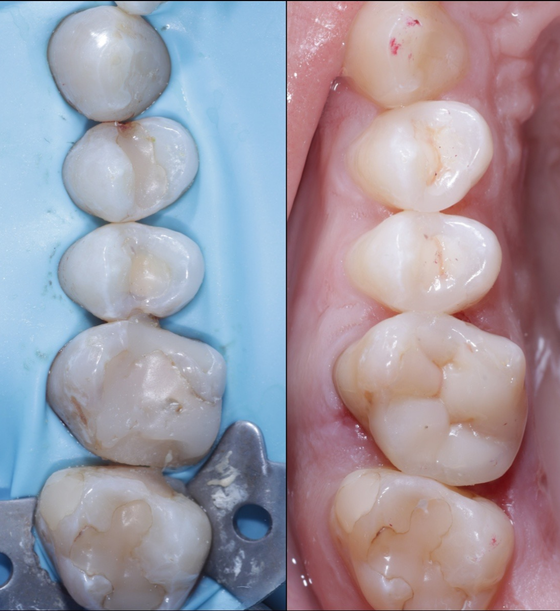
Biomimetic means "to copy life". It's a way of restoring damaged teeth that preserves as much natural structure as possible and rebuilds in layers, using materials that behave like real enamel and dentine.
Why choose biomimetic dentistry?
Every treatment decision starts with the same question: how much of your natural tooth can we save? The answer, with a biomimetic approach, is almost always more than you'd expect.
When we use a biomimetic approach
- Preserves up to 70% more tooth
- No cutting into healthy enamel
- Lower root canal risk
Book a biomimetic assessment in Muswell Hill
Whether you've been told you need a crown, a root canal, or you'd simply like a second opinion, we'll examine your tooth and let you know if a less invasive option is possible. Finance available to spread the cost.
Frequently asked questions
Clear answers to the questions we hear most often about biomimetic dentistry.
Traditional dentistry often removes a significant amount of healthy tooth to make room for a crown or large filling. A biomimetic approach removes only the damaged tissue, then rebuilds in layers with adhesive materials that mimic the way natural enamel and dentine behave. The result is a stronger, longer-lasting restoration with far less drilling.
In many cases, yes. By sealing the exposed dentine immediately and avoiding aggressive drilling near the nerve, we can often keep the tooth alive and avoid root canal treatment altogether. It depends on how advanced the damage is, so early intervention gives the best results.
Research shows bonded ceramic restorations can last well over a decade, with many lasting significantly longer. Because they flex with the tooth rather than working against it, they experience less stress and are less prone to cracking than traditional crowns.
The initial cost is often comparable to a crown. When you factor in the reduced need for root canals, retreatment and eventual extraction, the long-term cost is usually lower. We provide a clear, itemised quote before any treatment begins, and finance options are available.
No. Biomimetic dentistry requires specific training in adhesive techniques and a particular approach to treatment planning that prioritises conservation. It's not yet part of the standard dental curriculum, so it's worth seeking out a practice that has invested in this area.
Absolutely. Many of our biomimetic patients come to us after being told they need a crown or root canal elsewhere. We'll examine the tooth, explain your options and let you know whether a less invasive approach is possible. There's no obligation to proceed.