Onlays in Muswell Hill
A conservative alternative to a full crown, onlays restore damaged or heavily filled teeth while preserving as much healthy tooth structure as possible.
- Preserves more natural tooth than a crown
- Custom-made in porcelain or composite for a seamless fit
- Long-lasting, durable restoration
























What is an onlay?
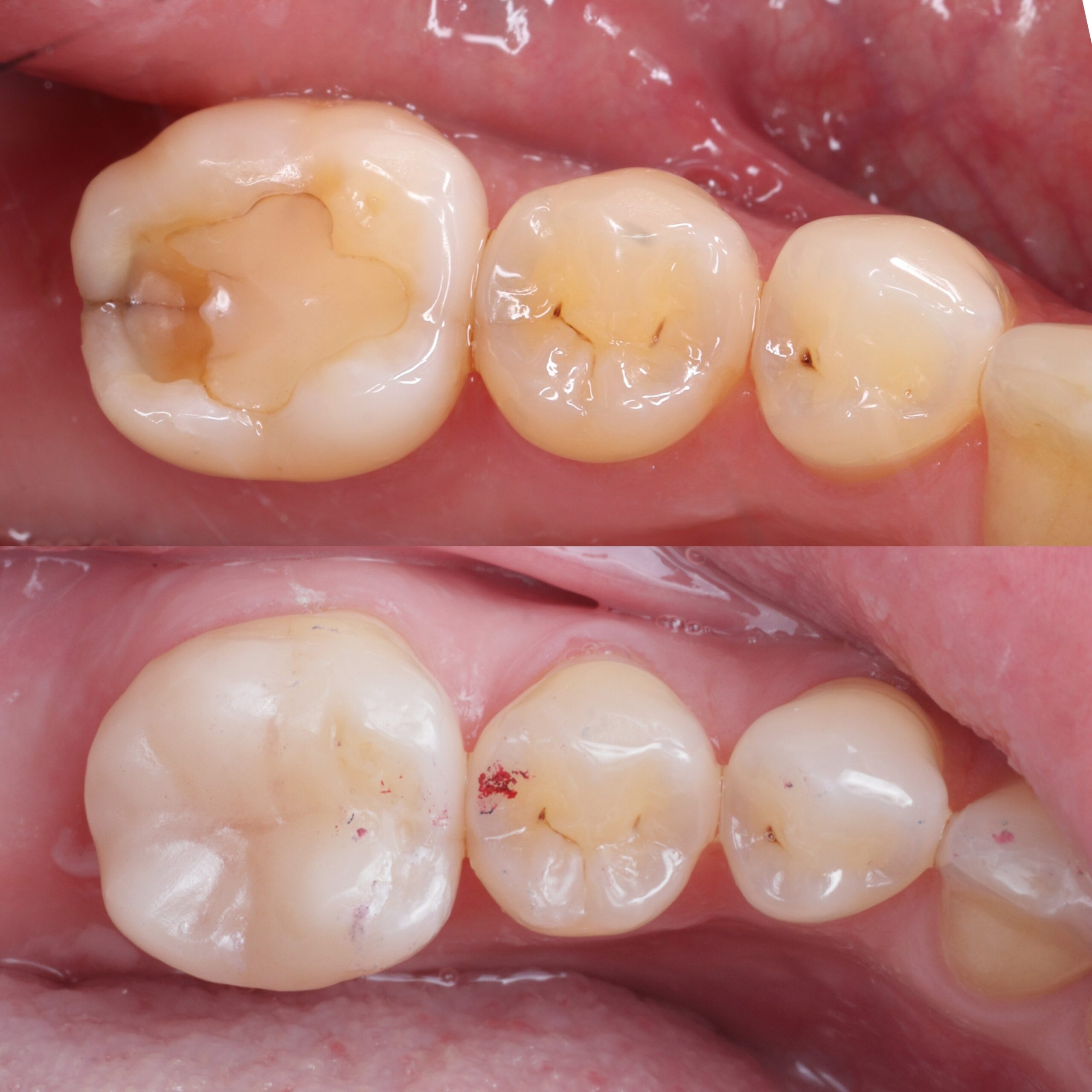
An onlay is a custom-made restoration that covers one or more cusps of a tooth. It sits between a filling and a full crown, restoring strength and shape while keeping as much healthy tooth structure intact as possible.
When an old filling takes up a significant portion of the tooth, an onlay replaces it with something stronger while preserving the surrounding healthy enamel.
If one or more cusps are damaged but the rest of the tooth is sound, an onlay rebuilds just the affected area without cutting down the entire tooth for a crown.
When decay extends across the biting surface or around a cusp, an onlay removes only what's damaged and restores the tooth with a precise, bonded fit.
Where a crown would require removing healthy enamel all around the tooth, an onlay only covers the area that needs it, keeping the rest untouched.
Onlays vs crowns
Both restore damaged teeth, but they take very different approaches. Here's how they compare so you can understand which might be right for your situation.
Onlays
A custom-fitted restoration that covers only the damaged part of the tooth, bonded precisely into place to restore strength without removing healthy structure.
- Moderate damage where healthy enamel can be preserved
- Replacing large fillings with a stronger, lasting alternative
- A conservative approach that keeps more natural tooth
Crowns
A full-coverage cap that fits over the entire tooth, encasing it completely to restore shape, strength and appearance when damage is more extensive.
- Extensive damage, fractures or teeth weakened after root canal
- Full-coverage protection when little healthy tooth remains
- Significant cosmetic reshaping of a single tooth
Not sure which is right for you?
We'll examine the tooth, explain how much structure can be preserved, and recommend the most conservative option that will give you a lasting result.
How your onlay is fitted
The process usually takes two appointments, with a temporary restoration protecting your tooth while the permanent onlay is crafted.
We examine the tooth, take X-rays and assess how much healthy structure remains. If an onlay is the most conservative option, we'll explain exactly what's involved.
Under local anaesthetic, we remove only the damaged or decayed material and shape the tooth just enough for the onlay to sit precisely, keeping as much healthy enamel as possible.
We take a precise digital scan of the prepared tooth and surrounding teeth. This is sent to the lab so your onlay is milled to exact measurements for a seamless fit.
A temporary filling protects the tooth while your onlay is being crafted. You can eat and speak normally during this time.
At your second appointment, we trial-fit the onlay, check the colour and bite, then bond it permanently into place for a strong, lasting restoration.
Book an onlay consultation in Muswell Hill
We'll assess your tooth, explain whether an onlay is the most conservative option, and recommend the best material for a lasting result. Finance options are available.
Frequently asked questions
Clear answers to the questions we hear most often about onlays.
A filling is placed directly into a cavity during a single visit. An onlay is custom-made in a lab from porcelain or composite and covers one or more cusps of the tooth, making it stronger and more durable than a large filling.
An onlay preserves more of your natural tooth. A crown requires shaping the entire tooth, while an onlay only covers the damaged area. When enough healthy structure remains, an onlay is the more conservative and often the better long-term option.
The tooth is numbed with local anaesthetic before we start, so you shouldn't feel any pain during the procedure. Because less tooth is removed compared to a crown, most patients find the process very comfortable.
With good oral hygiene and regular check-ups, a porcelain onlay can last 15 years or more. They are significantly more durable than large fillings and, because they are bonded to the tooth, they actually reinforce and strengthen it.
Usually two. At the first visit we prepare the tooth and take a digital scan. A temporary filling protects the tooth while your onlay is made. At the second visit, typically two weeks later, we bond the finished onlay into place.
The cost depends on the material used and the size of the restoration. After your assessment we'll give you a clear, itemised quote before you commit. Finance options are available to help spread the cost.