Veneers in Muswell Hill
Ultra-thin porcelain veneers to transform colour, shape and alignment, designed to look natural and last for years.
- Custom-made porcelain for a precise, lasting fit
- Colour, shape and alignment in one treatment
- Designed digitally and hand-finished by our lab
















Porcelain veneers vs composite bonding
Both improve the look of your smile, but they work differently and suit different goals. Here's how they compare so you can make an informed choice.
Porcelain veneers
Custom-made porcelain shells bonded to the front of your teeth, offering lasting changes to colour, shape and alignment in one treatment.
- Significant colour, shape or alignment changes
- Long-lasting results (typically 10–15+ years)
- Highly stain-resistant, natural-looking finish
Composite bonding
Tooth-coloured resin applied and sculpted directly onto the teeth, a quicker, more conservative option for subtle improvements.
- Minor chips, small gaps and edge refinements
- Single-visit treatment with no drilling
- Lower cost and easily repairable if needed
Not sure which is right for you?
We'll look at what you'd like to change, talk through the pros and cons, and recommend the best option for your teeth and budget.
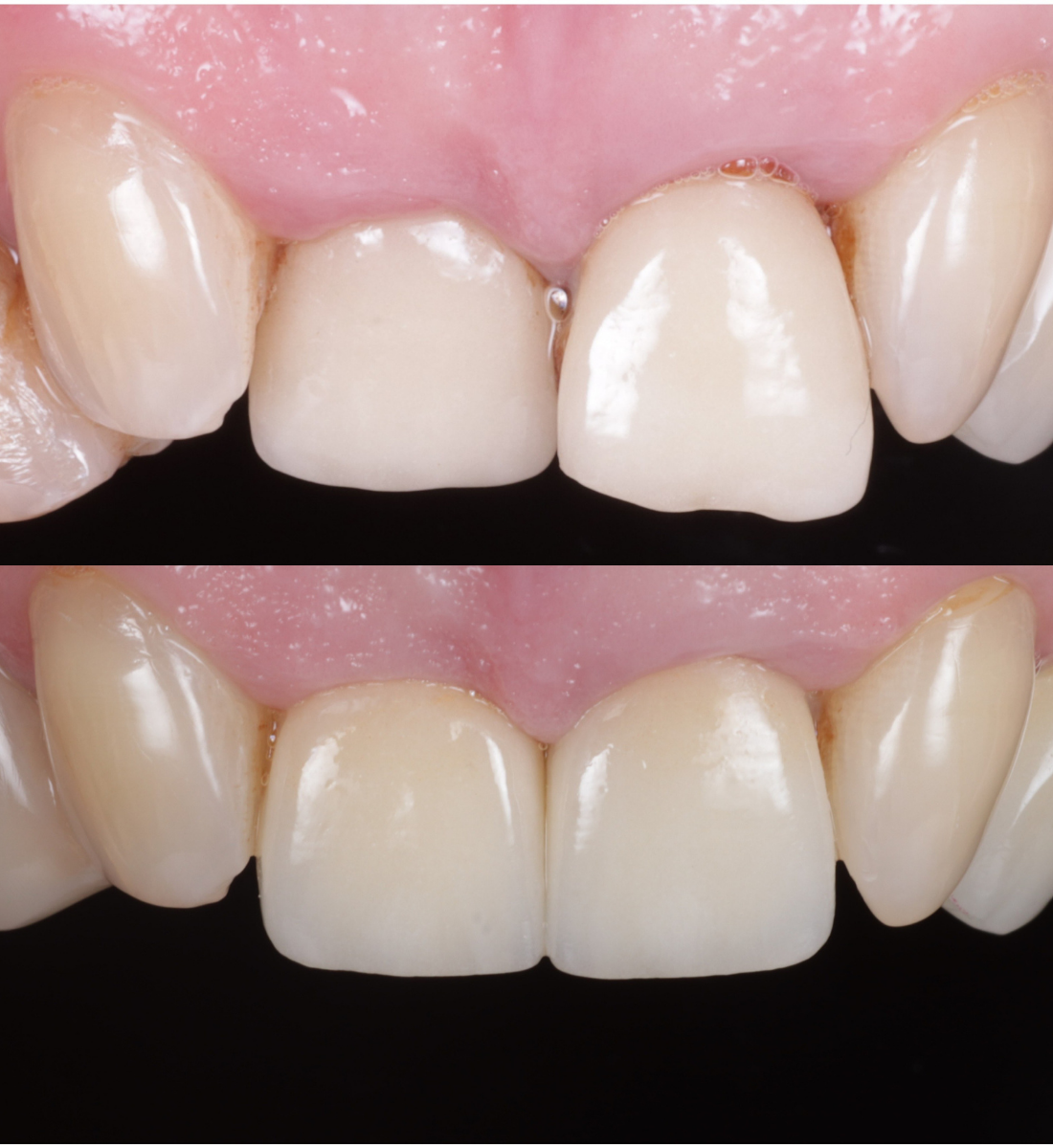
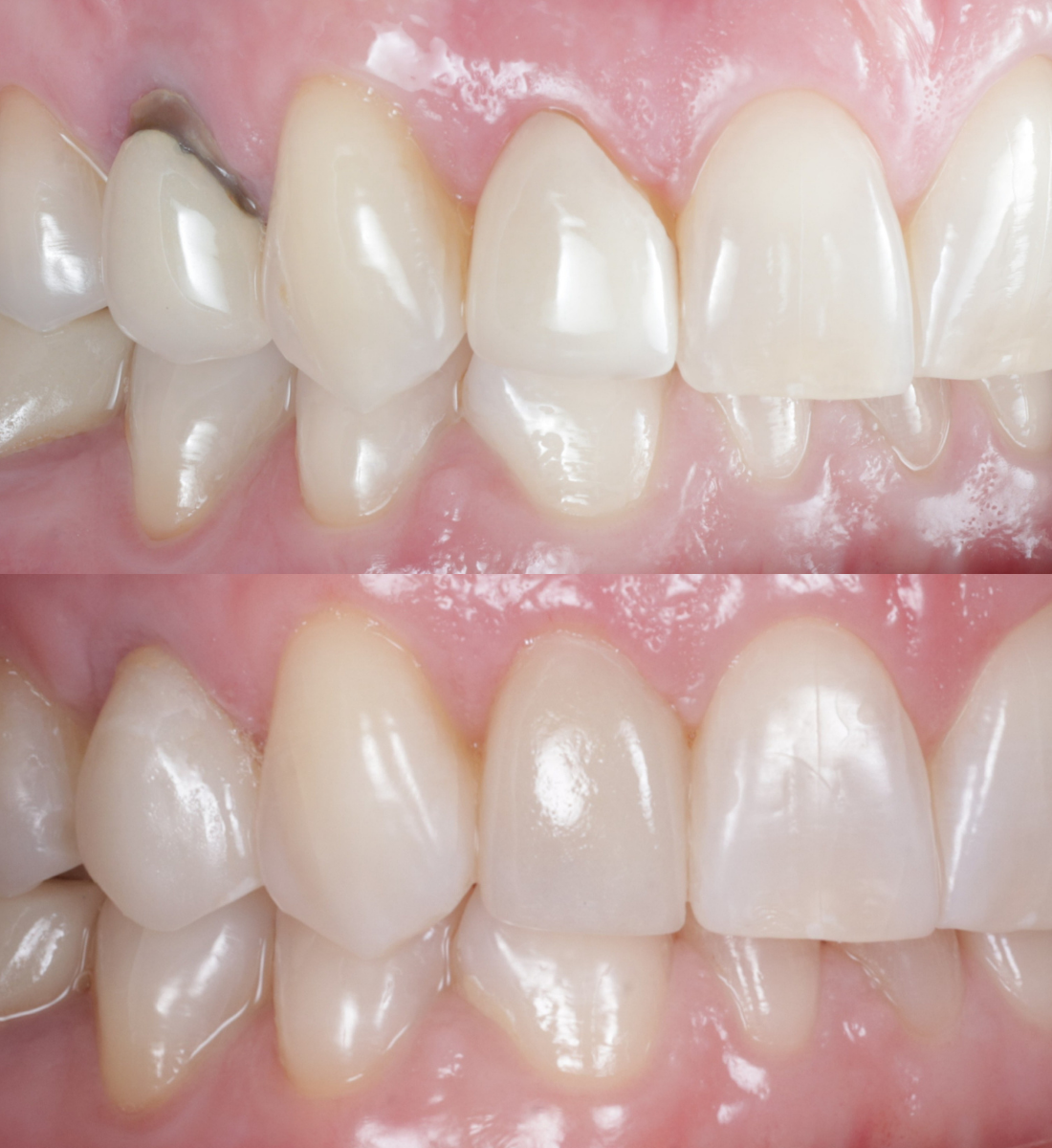
Benefits of porcelain veneers
A lasting way to transform colour, shape and alignment, custom-made from porcelain and designed to look completely natural.
How porcelain veneers work
Veneers are typically completed over two visits, with careful planning at every stage to make sure the result looks and feels exactly right.
We assess your teeth, discuss the result you're after, and plan the shape, shade and number of veneers digitally before any work begins.
A thin layer of enamel is carefully removed, precise impressions are taken, and temporary veneers fitted while the porcelain ones are crafted.
We trial the veneers on your teeth so you can check the fit and look. Once you're happy, they're permanently bonded into place.
We refine the bite, polish the surfaces and talk you through how to care for your veneers so they last as long as possible.
Book a free cosmetic consultation in Muswell Hill
Not sure where to start? Tell us what you'd like to change and we'll talk through your options, explain what's involved, and give you a clear plan with pricing, completely free and with no obligation.
Frequently asked questions
Short, clear answers to the questions we hear most often about porcelain veneers.
Porcelain veneers are ultra-thin shells of dental porcelain that are custom-made and bonded to the front surface of your teeth. They can improve colour, shape, alignment and spacing in a single treatment plan.
Most people with healthy teeth and gums are suitable. We'll check your bite, enamel thickness and gum health first. If there are any concerns, such as heavy grinding or gum disease, we'll address those before recommending veneers.
With proper care, porcelain veneers typically last 10–15 years or longer. Their longevity depends on your bite, habits and how well you look after them.
- Wear a night guard if you clench or grind
- Keep up with regular hygiene visits
- Avoid using your teeth to open or tear things
A thin layer of enamel is removed to make room for the veneer, so the process isn't fully reversible. However, we keep preparation as minimal as possible and only recommend veneers when the benefit clearly outweighs the trade-off.
Yes. Porcelain reflects light very similarly to natural enamel, which gives a lifelike finish. Each veneer is shade-matched and shaped to suit your face and smile, so the result looks like an improved version of you, not something artificial.
Porcelain is highly stain-resistant, far more so than composite bonding. Tea, coffee and red wine are unlikely to discolour the veneer surface. The margins where the veneer meets your tooth can sometimes pick up staining, but this is manageable with regular hygiene visits.
Typically two to three visits: one for consultation and planning, one for preparation and impressions, and one for fitting the final veneers. Some cases can be completed in two visits.
The cost depends on the number of veneers, the complexity of the case, and the level of customisation needed from the lab. After your consultation, we'll provide a clear treatment plan and price so you can make an informed decision.